Ποιες είναι οι θεραπείες που προτείνουν οι γιατροί για το πάρκινσον;
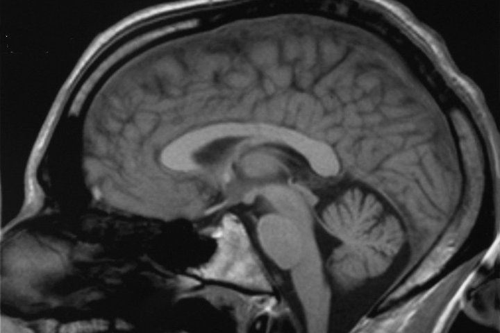
Με σύγχρονες θεραπείες τα αποτελέσματα είναι εντυπωσιακά αλλά για να επιλεγεί ο κάθε ασθενής πρέπει να πληρεί αυστηρότατες προϋποθέσεις. Το πάρκινσον είναι μία νόσος, η οποία ανήκει σε μία κατηγορία…

