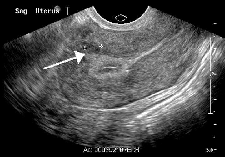
Ινομυώματα – Πώς μπορείτε να απαλλαχθείτε και τι πρέπει να γνωρίζετε
Τα περισσότερα είναι καλοήθη με ρυθμό ανάπτυξης πολύ αργό. Το ποσοστό των γυναικών που εμφανίζει ινομυώματα κάποια στιγμή της ζωής του, φτάνει το 70%. Για ένα μεγάλο μέρος αυτού του…

