Θεραπεία ουλίτιδας

Άλλες ονομασίες Αποτρύγωση, Καθαρισμός. Σύντομη περιγραφή - ορισμός Η θεραπεία της ουλίτιδας συνίσταται στην απομάκρυνση της πέτρας (τρυγίας, πλάκας) από τις επιφάνειες των δοντιών (τόσο πάνω όσο και κάτω από…

Continue Reading Θεραπεία ουλίτιδας

Μικροβιακή Πλάκα-Πέτρα

Σύντομη περιγραφή - ορισμός Η μικροβιακή πλάκα είναι μια μάζα από μικρόβια και υπολείμματα τροφών και μικροβίων προσκολλημένα αρχικά χαλαρά πάνω στα δόντια. Πως σχηματίζεται Στα πρώτα στάδια του σχηματισμού…

Continue Reading Μικροβιακή Πλάκα-Πέτρα

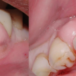
Θεραπεία ουλίτιδας

Με τη σωστή ενημέρωση και την κατάλληλη θεραπεία η ουλίτιδα είναι μια πλήρως ελεγχόμενη νόσος του περιοδοντίου. Γράφει ο Παναγιώτης Λαμπρόπουλος, οδοντίατρος και συνεργάτης του doctoranytime.gr  Βασική αιτία των ασθενειών…

Continue Reading Θεραπεία ουλίτιδας

Όξινη γεύση – amla

Γενικά χαρακτηριστικά Η όξινη γεύση είναι η γεύση που δίνεται κυρίως από τα οργανικά οξέα που υπάρχουν στις τροφές, όπως το οξαλικό οξύ στο ξύδι και τα οξέα των φρούτων…

Continue Reading Όξινη γεύση – amla

Δεν κληρονομούμε τα χαλασμένα δόντια αλλά τις κακές συνήθειες των γονιών μας

Η πλειοψηφία των οδοντιατρικών ασθενών καταφεύγουν στον οδοντίατρό τους, όταν τους πονάει κάποιο δόντι ή νιώθουν κάποια ενόχληση στα ούλα τους. Έκπληκτοι τότε ενημερώνονται για το μέγεθος της βλάβης που…

Continue Reading Δεν κληρονομούμε τα χαλασμένα δόντια αλλά τις κακές συνήθειες των γονιών μας

Χρόνια ουλίτιδα

Άλλες ονομασίες Ουλίτιδα. Σύντομη περιγραφή - ορισμός Η χρόνια ουλίτιδα είναι μια πολύ συνηθισμένη φλεγμονή των ούλων, που οφείλεται, κυρίως σε τοπικά ερεθιστικά αίτια, με κυριότερο απ’ αυτά τα μικρόβια…

Continue Reading Χρόνια ουλίτιδα

Περιοδοντίτιδα

Σύντομη περιγραφή - ορισμός Η περιοδοντίτιδα είναι η εξέλιξη της χρόνιας ουλίτιδας όταν αυτή δεν αντιμετωπίζεται. Οι ιστοί που περιβάλλουν και στηρίζουν τα δόντια (ούλα, κόκκαλο), φλεγμαίνουν εξαιτίας διαφόρων παραγόντων…

Continue Reading Περιοδοντίτιδα

Περιοδοντικό απόστημα

Με καλύτερη στοματική υγιεινή, ίσως και να το προλαβαίνατε. Σύντομη περιγραφή - ορισμός Το περιοδοντικό απόστημα είναι μια πυώδης φλεγμονή των ιστών που περιβάλλουν το δόντι και την ρίζα του…

Continue Reading Περιοδοντικό απόστημα